Bệnh viện Hồng Ngọc tiên phong thay 2 khớp gối không cắt gân cơ trong 1 cuộc mổ
Tiên phong ứng dụng phương pháp thay cùng lúc 2 khớp gối không cắt gân cơ tại Việt Nam, Bệnh viện Hồng Ngọc đã giúp các bệnh nhân mất xương, hoại tử xương,... có cơ hội khôi phục vận động chỉ với một cuộc mổ.
Cuộc mổ “2 trong 1” - Khôi phục vận động, giảm bớt nỗi lo tài chính và tinh thần
Kỹ thuật thay khớp gối được triển khai tại Việt Nam từ những năm 2000 bằng cách cắt bỏ gân cơ quanh gối để đặt khớp nhân tạo, dẫn đến nguy cơ nhiễm trùng cao, bệnh nhân lưu viện 10-15 ngày và dễ gặp tình trạng cứng khớp hoặc hai chân không đều sau mổ. Với bệnh nhân có chỉ định thay 2 khớp gối đồng nghĩa phải thực hiện 2 cuộc phẫu thuật cho từng khớp, tùy thuộc vào tình trạng bệnh nhân mà thời gian cách nhau từ vài tuần đến vài tháng. Dẫn đến chi phí phẫu thuật, thời gian lưu viện, tập phục hồi chức năng... tăng gấp đôi. Đây cũng chính là lý do khiến nhiều người bệnh bỏ qua "thời điểm vàng" phẫu thuật 2 khớp gối theo chỉ định của bác sĩ.
Thấu hiểu được tâm lý chung của người bệnh, Bệnh viện Hồng Ngọc đã tiên phong tiếp nhận chuyển giao và ứng dụng thành công phương pháp thay cùng lúc 2 khớp gối không cắt gân cơ chỉ trong 1 cuộc mổ của Giáo sư Hiranaka Takafumi (Bệnh viện Takatsuki - Nhật Bản). Đây là phương pháp hiện đại, khắc phục được những hạn chế của kỹ thuật thay khớp gối trước đây: “Khớp nhân tạo vừa vặn với trục chân, đường mổ nhỏ, ít xâm lấn, bảo tồn gân cơ giúp bệnh nhân ít đau, ít chảy máu, dáng đi tự nhiên, khôi phục vận động sớm, sinh hoạt bình thường sau phẫu thuật… Đặc biệt phương pháp này không chỉ phù hợp với những bệnh nhân thoái hóa, biến dạng khớp thông thường mà còn phù hợp cho cả người cao tuổi, có bệnh lý nền, biến dạng mất xương, đã từng phẫu thuật vùng đầu gối thất bại,... một cách an toàn, hiệu quả. Ngoài ra, việc thay 2 khớp gối trong cùng 1 cuộc mổ sẽ giúp người bệnh giảm bớt gánh nặng tài chính, vơi đi nỗi lo phải phẫu thuật 2 lần, thời gian điều trị và hồi phục cũng được rút ngắn đáng kể…” - TS.BS. Lê Quang Huy (Trưởng Đơn nguyên Chấn thương chỉnh hình - BV Hồng Ngọc) chia sẻ.
![]()
GS. Hiranaka Takafumi và TS.BS. Lê Quang Huy cùng ê-kíp mổ phối hợp thay 2 khớp gối không cắt gân cơ cho các bệnh nhân biến dạng khớp
Hiện thực hóa ước mơ về một “đôi chân bình thường” cho các bệnh nhân mất xương, biến dạng khớp
Bệnh nhân Hoàng Đức Nam (53 tuổi - Hà Nội) đã phải chung sống nhiều năm với chiếc xe lăn do ảnh hưởng của bệnh gút mạn tính khiến chân bị biến dạng nặng nề.Với anh, tự đứng và đi lại bằng đôi chân của mình là ước mơ rất xa vời.. Cho đến khi tình cờ biết được phương pháp thay 2 khớp gối gióng trục động học không cắt gân cơ chỉ trong 1 lần mổ, anh như tìm thấy “chiếc phao cứu sinh” cho đôi chân của mình và quyết định phẫu thuật tại BVĐK Hồng Ngọc.
Theo TS.BS Lê Quang Huy: "Trường hợp của bệnh nhân Nam rất đặc biệt, các tinh thể urat bám dày đặc quanh khớp gối, phá hủy cấu trúc xương, mất hoàn toàn lớp sụn khớp khiến khớp gối bệnh nhân biến dạng nặng, mất vận động và teo cơ. Nếu điều trị bằng các phương pháp trước đây thì bệnh nhân sẽ phải phẫu thuật 2 lần và thường phải đóng cứng khớp gây hạn chế khả năng vận động. Vì vậy, kỹ thuật thay 2 khớp gối không cắt gân cơ trong 1 cuộc mổ và sử dụng loại khớp bản lề đặc biệt (CCK) là phương pháp duy nhất giải quyết được tình trạng của bệnh nhân, khắc phục những hạn chế của phương pháp cũ. Không chỉ giảm đau đớn mà sau phẫu thuật, nếu tích cực tập phục hồi chức năng bệnh nhân có thể khôi phục tầm vận động, gập duỗi khớp dễ dàng, đi lại thoải mãi, thậm chí là chơi thể thao. Ngoài ra trong quá trình phẫu thuật, chúng tôi sẽ kết hợp bóc tách tối đa các tinh thể urat để tạo điều kiện thuận lợi cho việc thay khớp.”

Lượng tinh thể urat được bóc tách ra từ 2 khớp gối của bệnh nhân Nam
"Đến bây giờ tôi vẫn không thể tin được rằng chỉ sau 1 cuộc phẫu thuật mà tôi có thể tự đứng dậy, đi lại được bằng chính đôi chân của mình. Quả là 1 kỳ tích! Tôi mong chờ ngày này cũng lâu lắm rồi… Tôi đã từng đi khám ở rất nhiều nơi nhưng họ đều chỉ có thể giúp tôi trong việc giảm đau, còn đi lại bình thường được hay không thì họ không dám chắc... Tôi cứ nghĩ là mình sẽ phải gắn bó với chiếc xe lăn này cả đời, nhưng may mắn sao gặp được bác sĩ Huy và phép màu đã xuất hiện với tôi… ” - Anh Nam xúc động chia sẻ.
Khác với anh Thành, ông Nguyễn Gia Thau (79 tuổi - Hà Nội) bị thoái hóa khớp gối độ IV, biến dạng vẹo trong nặng, tiền sử tăng huyết áp, đái tháo đường tuýp II nên việc phải trải qua 2 lần phẫu thuật tiềm ẩn nhiều rủi ro. Bên cạnh đó, gánh nặng tài chính cho 2 ca mổ quá lớn nên dù đã có chỉ định phẫu thuật từ lâu nhưng gia đình vẫn chưa thể lo liệu. Nhưng sau khi được thăm khám và tư vấn bởi bác sĩ Huy về phương pháp thay cùng lúc 2 khớp gối trong 1 cuộc mổ, ông và gia đình đã quyết định tin tưởng phẫu thuật tại BVĐK Hồng Ngọc.
“Đối với người cao tuổi, nhiều bệnh lý nền như ông Thau thì có nguy cơ gặp các biến chứng mạch vành, suy tim, đột quỵ, bệnh lý mạch máu ngoại biên… trong và sau mổ. Vì thế, trước phẫu thuật bệnh nhân cần được thăm khám toàn diện về tim mạch và gây mê nhằm có phương án kiểm soát huyết áp, kịp thời nhận diện các nguy cơ tiềm ẩn. Bên cạnh đó, cuộc phẫu thuật thay 2 khớp gối không cắt gân cơ cần phải diễn ra nhanh gọn, hạn chế mất máu, kiểm soát tốt huyết áp… để giảm thiểu tối đa các biến chứng.” - Bác sĩ Huy cho biết.

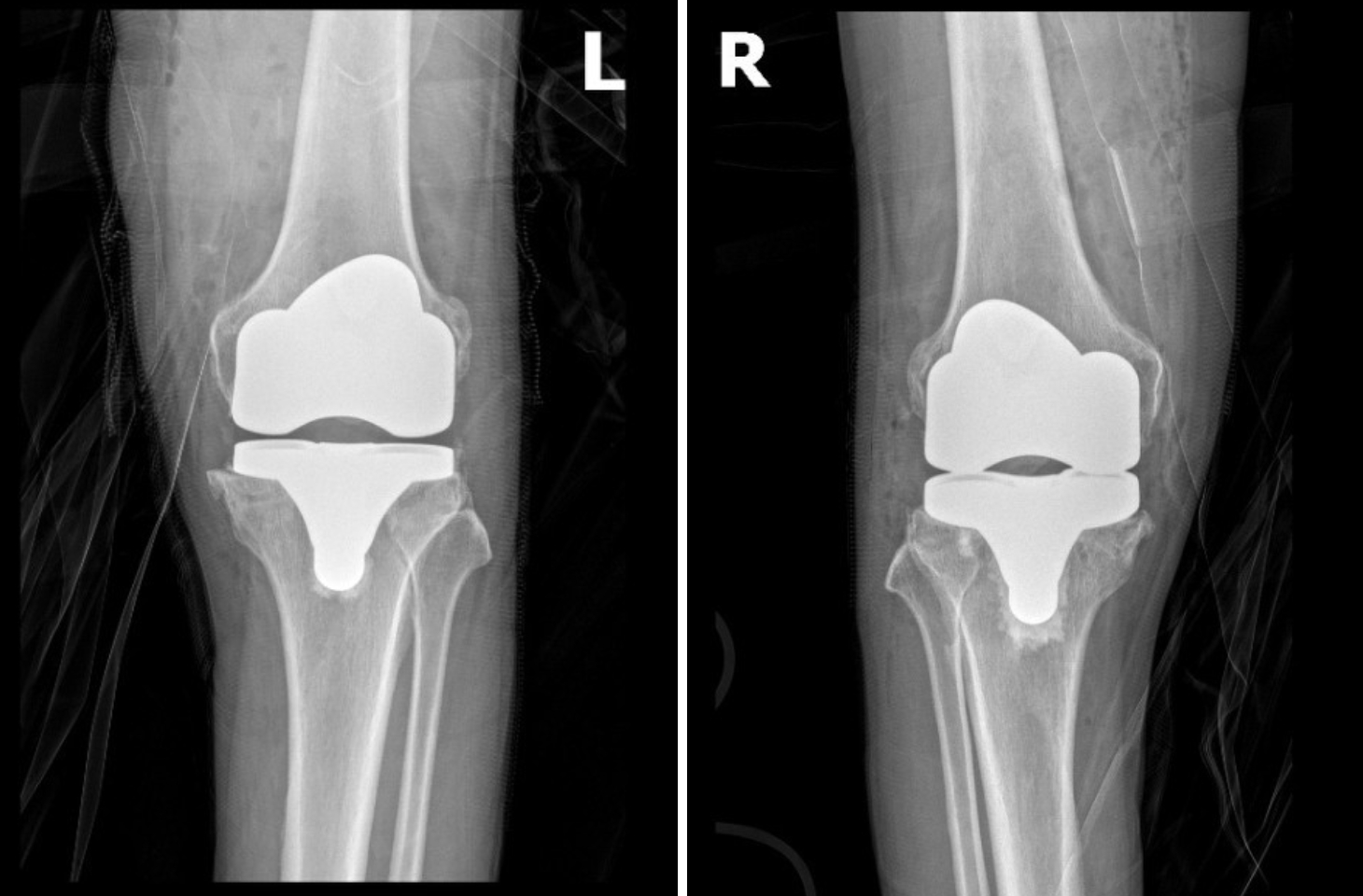
Phim chụp khớp gối bệnh nhân Thau sau phẫu thuật khớp nhân tạo vừa vặn với trục chân, vận động trơn tru
Trong gần 2 tiếng phẫu thuật, ông Thau không cần phải truyền máu và chỉ số huyết áp luôn trong trạng thái ổn định. Chỉ 1 ngày sau phẫu thuật, ông đã tỉnh táo và bắt đầu chế độ tập Phục hồi chức năng sớm, từng bước khôi phục vận động.“Tôi vui lắm, lâu lắm rồi tôi mới có cảm giác không đau chân và ngủ ngon như vậy. Cứ cái đà này thì chắc chỉ mấy tháng nữa là tôi đi bộ thể dục được cùng mấy ông bạn rồi!” - Bệnh nhân Thau mừng rỡ nói.
Nhờ việc làm chủ và ứng dụng thành công phương pháp thay 2 khớp gối không cắt gân cơ trong cùng 1 cuộc mổ, Bệnh viện Hồng Ngọc không chỉ giúp các bệnh nhân tìm lại được bước đi tự tin, vững chắc mà còn xoa dịu mọi nỗi lo lắng trong họ. Qua đây mở ra cơ hội mới cho nền y học nước nhà, giúp cho nhiều người bệnh được tiếp cận với phương pháp điều trị hiện đại, an toàn, hiệu quả, tiết kiệm thời gian và chi phí.
Bình luận