Răng sứ có mấy loại, nên chọn loại nào?
Một nụ cười vừa đẹp vừa khỏe chỉ đến từ việc lựa chọn đúng loại phục hình, phù hợp tuyệt đối với tình trạng răng, cấu trúc men - ngà và nhu cầu thẩm mỹ cá nhân của từng người.
Răng sứ có mấy loại, nên chọn loại nào?
Hiện nay, các loại răng sứ có thể chia thành hai nhóm chính dựa trên vật liệu và mức độ an toàn khi phục hình:
- Răng sứ kim loại: chi phí thấp, nhưng dễ đen viền nướu, màu kém tự nhiên và độ tương thích sinh học không cao. Vì vậy, nhóm này hầu như không còn được ưu tiên trong thẩm mỹ hiện đại.
- Răng toàn sứ: thẩm mỹ cao, bền chắc, không gây kích ứng và giữ màu tốt. Đây là lựa chọn được khuyến nghị trong hầu hết các ca phục hình.
Trong nhóm răng toàn sứ, có hai kỹ thuật phổ biến và được xem là tiêu chuẩn hiện nay: Mão răng sứ (Full Crown) và dán sứ Veneer
Việc lựa chọn giữa Mão sứ và Veneer tuyệt đối không thể áp dụng theo “trend” hay mong muốn chủ quan của khách hàng. Bác sĩ cần đánh giá kỹ lưỡng tình trạng răng, độ dày men, khớp cắn và mức độ tổn thương để chỉ định đúng kỹ thuật, đảm bảo mục tiêu cuối cùng là đẹp nhưng phải bảo tồn tối đa răng thật.
Nên chọn loại sứ nào cho từng tình trạng răng?
Để có nụ cười hài hòa và duy trì sức khỏe răng miệng lâu dài, điều quan trọng không nằm ở việc chọn loại sứ đắt hay rẻ, mà là chọn đúng kỹ thuật phục hình phù hợp với tình trạng răng thật. Hiện nay, hai kỹ thuật chính trong nha khoa thẩm mỹ - phục hình là mão răng sứ và dán sứ Veneer.
Mão răng sứ - dành cho răng đã hư tổn nặng
Mão sứ (Full Crown) là kỹ thuật bao phủ toàn bộ thân răng, thường được chỉ định khi răng đã tổn thương nghiêm trọng. Phương pháp này phù hợp với các trường hợp răng sâu lớn, răng đã điều trị tủy, răng sứt mẻ do chấn thương, răng mòn nặng do nghiến răng kéo dài, răng thiểu sản men hoặc nhiễm màu nặng.

Răng có bệnh lý thiểu sản men, dễ vỡ cần bảo tồn bằng phương pháp mão sứ (Hình: Platinum Dental)
Ưu điểm của mão sứ là khả năng phục hồi toàn diện hình thể răng và chức năng ăn nhai, với độ bền cao và khả năng chịu lực tốt, đặc biệt phù hợp cho vùng răng hàm. Tuy nhiên, kỹ thuật này đòi hỏi mài răng nhiều hơn so với Veneer, vì vậy chỉ nên áp dụng khi răng đã yếu hoặc tổn thương và cần được bảo vệ lâu dài.
Lưu ý quan trọng: Phương pháp bọc sứ không phải là lựa chọn thông minh cho những trường hợp răng khỏe mạnh nhưng có khuyết điểm ở khớp cắn như hô, móm, hoặc răng lệch nghiêm trọng. Những trường hợp này cần niềng răng để bảo tồn răng tối đa trước khi cân nhắc thẩm mỹ.
Dán sứ Veneer - giải pháp cho răng còn khỏe, muốn cải thiện thẩm mỹ
Dán sứ Veneer là phương pháp thẩm mỹ bảo tồn hiện đại, phù hợp khi răng còn khỏe nhưng cần cải thiện màu sắc, hình dáng hoặc chỉnh răng thưa nhẹ. Veneer là miếng sứ siêu mỏng dán lên mặt trước răng, giúp giữ lại đến 90-95% mô răng thật, hạn chế mài răng và tác động đến tủy.

Dán sứ Veneer phù hợp khi răng còn khỏe nhưng cần cải thiện hình dáng, màu sắc (Hình: Platinum Dental)
Phương pháp này mang lại hiệu ứng thẩm mỹ tự nhiên, phản quang tốt và giúp duy trì cảm giác ăn nhai thoải mái. Tuy nhiên, Veneer không phù hợp với răng sâu lớn, răng yếu, răng quá mỏng hoặc những trường hợp có thói quen nghiến răng mạnh.
Có thể thấy rằng không phải ai cũng phù hợp để dán Veneer, và cũng không nên bọc mão sứ tràn lan chỉ vì muốn đẹp nhanh. Mỗi kỹ thuật đều có chỉ định riêng và cần được bác sĩ đánh giá chính xác dựa trên tình trạng men - ngà, khớp cắn và mức độ tổn thương răng.
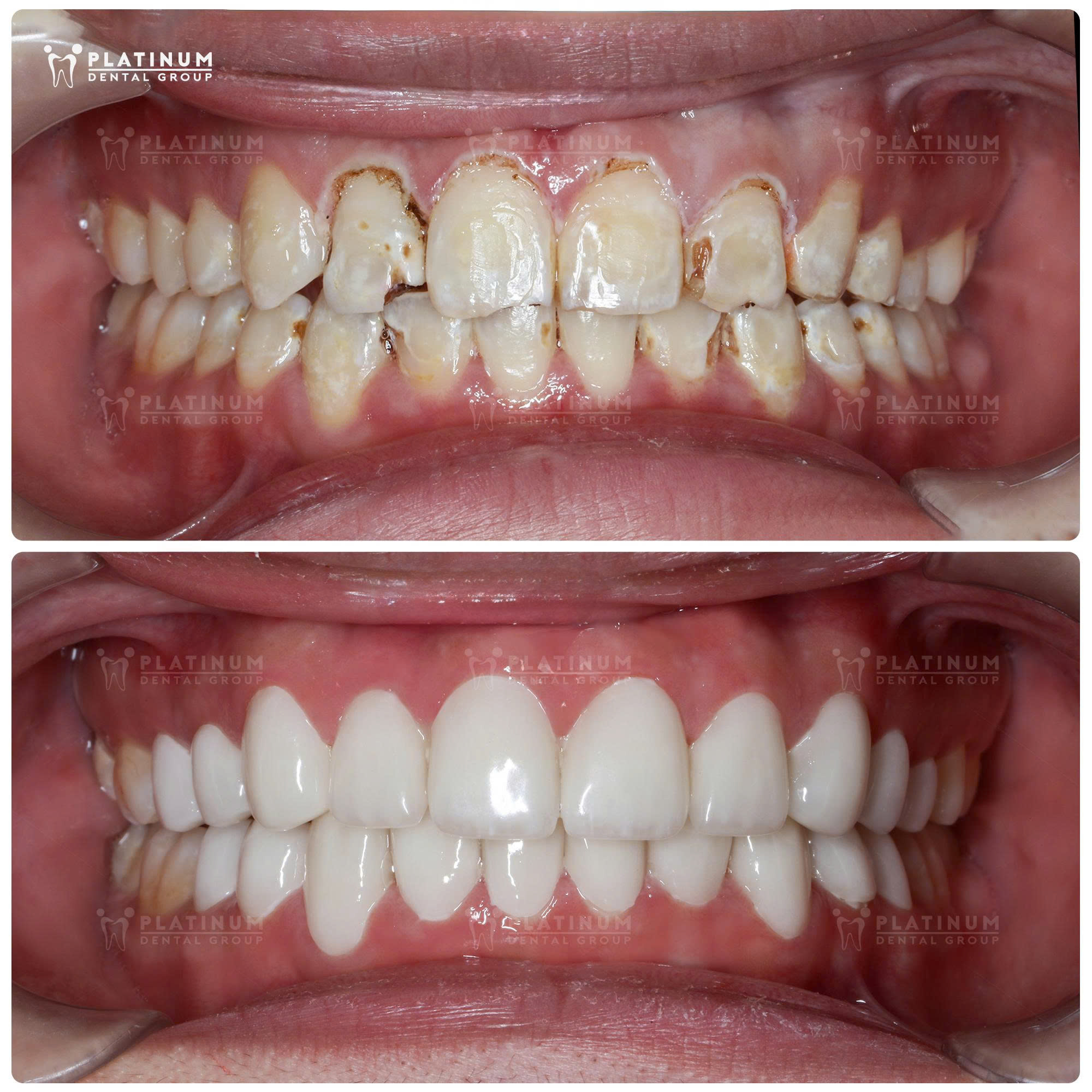
Làm răng sứ an toàn, bảo tồn - xu hướng mới hiện nay
Làm răng sứ hiện đại không còn chạy theo mục tiêu “đẹp nhanh”, mà hướng đến triết lý an toàn - bảo tồn - tối ưu chức năng. Một ca phục hình sứ đạt chuẩn không chỉ cần đẹp mà còn phải giữ lại tối đa mô răng thật, hạn chế xâm lấn và duy trì khớp cắn ổn định lâu dài.
Quy trình phục hình sứ chuẩn thường bao gồm: thăm khám - chẩn đoán - phân tích khớp cắn - lập kế hoạch điều trị - lựa chọn vật liệu - chế tác - gắn thử - kiểm tra khớp cắn.

Khi có nhu cầu cần làm răng sứ, bạn nên tìm hiểu nha khoa uy tín và thăm khám với bác sĩ có kinh nghiệm để được chỉ định đúng và điều trị an toàn. (Ảnh: Platinum Dental)
Một số hệ thống nha khoa như Platinum Dental theo đuổi triết lý phục hình bảo tồn, chỉ mài những gì thật sự cần mài, ưu tiên Veneer cho răng còn khỏe và mão toàn sứ đúng chỉ định cho răng đã tổn thương. Sau khi gắn sứ, khớp cắn được kiểm tra bằng hệ thống T-Scan nhằm đảm bảo phân bố lực nhai hợp lý, giúp khách hàng ăn nhai thoải mái, không cộm vướng hay đau mỏi.
Platinum Dental là trung tâm nha khoa kỹ thuật cao, ứng dụng công nghệ chẩn đoán hiện đại và triết lý điều trị bảo tồn mô răng thật chỉ mài những gì thật sự cần mài... Đây là hướng điều trị giúp bệnh nhân có được nụ cười đẹp nhưng vẫn giữ lại tối đa răng tự nhiên, đòi hỏi Bác sĩ phải có chuyên môn cao và kinh nghiệm đánh giá tình trạng răng chính xác.
Platinum Dental Group - Trung Tâm Nha Khoa Kỹ Thuật Cao
Giấy phép hoạt động: 04728/SYT-GPHĐ
Địa chỉ: 127 Nguyễn Cư Trinh, P. Cầu Ông Lãnh, TP. Hồ Chí Minh
Website: https://platinumdentalvietnam.com/
Hotline: (+84) 28 3920 9969 - 0967 797 799
Bình luận